HOMIE

Imágenes
Tipo
Sexo
Macho
F.Nacimiento
Tamaño
Mediano (10 - 20 kg)
Raza
Situacion
Refugio
Localidad

Hacer donación mediante PAYPAL

 

Utiliza la opción "Familiares y amigos" para evitar comisión.

Historia

Hace unos días recibíamos una donación de comida húmeda. Mientras el camión descargaba, apareció este pequeño. Parecía que decía: ahora tenéis comida, ¿tenéis un huequito para mí?. No lo dudamos y le ofrecimos un techo.

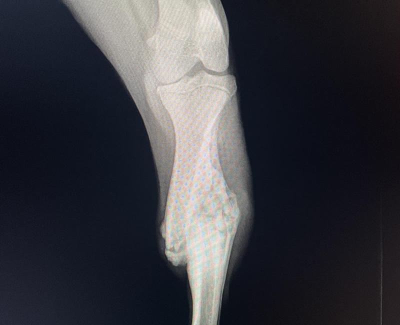
Es un joven perrito, simpático, cariñoso, alegre,….Le observamos que tenía un bulto raro en una pata, estábamos seguros que era una fractura antigua ya soldada. Tras pasar por el veterinario y realizar radiografías, nos confirmaron que tenia una fractura de tibia y peroné, sobrepuesto y totalmente soldado. La veterinaria ha evaluado la situación y, ya que solo ha perdido un par de centímetros en comparación con la otra pata, se ha decidido no tocarle puesto que no cojea, corre, salta….y tocando es posible que quede peor. 

Así que esta preciosidad busca un sitio donde le quieran y le den la vida que hasta ahora no ha tenido. 

Si quieres darle un hogar, escribe a lahuellaroja.almeria@gmail.com